Beyond Exceptional Dentistry is a full-service dental practice that can serve all your dental needs. We offer:Full Mouth Rejuvenation
FOY Dentures®
Dental implants
TMJ treatment and migraine headache relief
Porcelain veneers
Filling Upgrades (White Fillings)
Sedation dentistry
And more. To find out if we offer a service you are looking for, please call (843) 706-2999.
Served areas
- Bluffton, SC, Hilton Head Island, Beaufort County, Jenkins Island, Indigo Run, Buck Island, Daufuskie
Highlights and features
- TMJ Treatment
- Dentures
- Full Mouth Reconstruction
- Dental Implants
Associations and certifications
- International Association of Comprehensive Aesthetics
- American Dental Association
- Dental Organization for Conscious Sedation
- Academy of General Dentistry
- Georgia Dental Association
- International College of Cranio-Mandibular Orthopedics
- LVI Mastership
- Inventor, Denture Fountain of Youth®
Follow us
Services
Are you looking for dentures that make you look younger? Would you like your dentures to be more secure? What if your dentures could actually be comfortable to wear? This probably sounds very appealing to you. It also probably sounds very different from your current dentures or the dentures of other people you know. That’s because the Denture Fountain of Youth ®, also called FOY ® Dentures, are different. Invented by Dr. Rod Strickland, FOY® Dentures prove that Dentures don’t have to look like dentures anymore. Nor do they have to fit or function like them, either. If you are looking for dentures that rejuvenate your appearance, stay in place, and feel comfortable, then you are looking for FOY® Dentures. Please call (912) 234-8282 today for an appointment with a denture dentist at Beyond Exceptional Dentistry in Savannah, Georgia.
Dr. Reeves received his bachelor’s degree in biology from Virginia Commonwealth University and his doctor of dental science degree (2006) from Virginia Commonwealth University School of Medicine. After graduating from dental school, Dr. Reeves joined a practice with his dad in his hometown just south of Washington D. C. While working in that practice, he gained hundreds of hours per year of postgraduate education in some of the most challenging and innovative areas of dentistry, such as cosmetic dentistry and neuromuscular dentistry, at the Las Vegas Institute for Advanced Dental Studies (LVI) . As a result of his extensive study, he has obtained the exclusive rank of LVI Fellow, an honor that few dentists have achieved. Among his areas of focus during his studies are smile rejuvenation, aesthetic veneers, and migraine relief. In addition, Dr. Reeves has studied Invisalign clear braces and sedation dentistry. Sedation dentistry allows Dr. Reeves to help his patients get the dentistry they want and need in complete comfort despite dental anxiety. During his time studying at LVI, Dr. Reeves came to understand the mission and ideals of Beyond Exceptional Dentistry. He is dedicated to delivering the same unparalleled dentistry that has been our focus and we are happy to welcome him to our practice.
A nonsurgical facelift restores your teeth to their youthful proportions, and when we do that, we change your face back to the way it used to be. Many of the above changes you may have noticed will be minimized or eliminated. Tekscan helps us make this amazing transformation. Tekscan measures the forces in your bite, showing how much pressure is put on each tooth and restoration. That means that your new smile won’t just look like a youthful, healthy one, it will feel like one, too.
A neuromuscular dentist is a dentist trained in the relationship of the muscles, nerves, and other soft tissues with the bones and teeth in your mouth and jaw. Based on more than 30 years of clinical experience and research, neuromuscular dentistry has developed scientific, reliable, and predictable treatments for TMJ. This means that we can give you long-term relief from your symptoms, including head and neck pain. We can reduce or alleviate your TMJ pain by determining your jaw’s ideal rest position. By correcting a misaligned bite, we can reduce wear or damage to teeth.
There are two major misconceptions people have about metal fillings on their back teeth: that their appearance doesn’t matter, and that they’re functionally fine. Although these fillings may not be visible when you smile, they are visible when you talk and when you eat, which means you’re showing them a lot more than you think. And although you may not be aware of problems with these fillings, chances are that damage is being done to your teeth every time you chew, eat, drink, or clench your teeth. White fillings can not only improve the appearance of your smile, they can make it healthier and more comfortable, too.
Dental implants are changing the way people live! If you want replacement teeth that look as good, feel as good, and function as well as natural teeth, then you want dental implants. Our office provides revolutionary dental implant technology that allows you to eat and smile with confidence after your first visit.
Cosmetic dentistry is the art and science of ensuring that your smile looks beautiful. Because looking good is an essential function of your smile, cosmetic dentistry is as important as any other type of dentistry, and if you’re going to get it—you want to get it done right. That way your smile will be ready for all the special occasions in your life, like a wedding or public appearance. We offer many different cosmetic dentistry procedures, including:
-Non-Surgical Facelift
-Full-Mouth Rejuvenation
-FOY Dentures®
-Dental Implants
-Porcelain Veneers
-Cosmetic Renewal
-Invisalign
-White Fillings
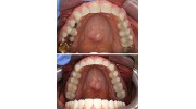
A full mouth reconstruction is similar to a smile makeover, but includes attention to the functional and health aspects of treatment in addition to aesthetic aspects. Each full mouth reconstruction is customized for a patient’s needs. It may include:
-Filling restoration and upgrades
-Dental crowns
-Endodontic therapy (root canal)
-Dental implants
-Orthodontic treatment (such as Invisalign)
-Porcelain veneers
-Teeth whitening
For some cases of severe TMJ, a full mouth reconstruction is recommended to achieve optimal, long-term proper alignment of the jaw. Tekscan is a technology that helps us ensure your bite is properly set up. This digital pressure meter measures the force on every tooth and restoration so we can ensure your bite forces are properly balanced for long-term health and stability.
Dentures available today are generally one of 3 types:Economy – Economy options are designed to be inexpensive, sacrificing both fit and appearance for a lower cost. Because they are not highly customized and can be completed quickly, they are often sold as “dentures in a day. ” Some of our patients have even joked that these only come in small, medium, and large, which would account for their often very poor fit.
Traditional – Traditional options are the most commonly used by general dentists. They typically fit okay and look okay, but they often lack in the functional department. Perhaps most bothersome to patients is that the stability in eating prevents them from enjoying their favorite foods like steak, apples, or corn on the cobb.
Neuromuscular, Cosmetic – We call them FOY® or Fountain of Youth Dentures. This is the only type that we feel comfortable offering to our patients. Although they are more expensive, the superior fit, function, and aesthetics are worth the additional cost. The results may even make people think that you’ve had a facelift!
Invisalign’s advanced approach to orthodontic treatment means that it won’t interfere with your daily life. The benefits include:-Nearly invisible
-Removable for pictures or special meetings
-No diet restrictions
-No special cleaning instructions
-Comfortable–no metal wires or brackets
-Comparable treatment time to traditional braces
-These benefits are responsible for Invisalign’s increasing popularity.
BOTOX ® Cosmetic is a versatile cosmetic treatment that can be to help get rid of many different wrinkles, including:-Vertical lines between the brows (glabellar lines)
-Horizontal lines in the forehead
-Crow’s feet
-Lines around the mouth (lipstick lines)
-Wrinkles on the nose (bunny lines)
-Skin bands in the neck (turkey neck)
It cannot treat excess lax skin or hollows in the face caused by a loss of facial volume, but we offer the perfect complementary treatments in FOY Dentures®, nonsurgical facelifts, and Juvéderm.
Juvéderm is a versatile filler that is mostly used on the face to restore volume lost as a result of aging or weight loss. It is commonly used to treat:Hollows under the eyes
Sunken cheeks
Deep folds around the mouth (nasolabial folds)
Thin lips
In addition, Juvéderm can be used to help plump fingers that seem too thin or bony, a common effect of aging.
This is a new approach to orthodontics that is growing in popularity because it offers many benefits over traditional braces. With Six Month Smiles, you can enjoy:-Results in an average of six months
-Shorter appointments
-Comfortable treatment
-Subtle appearance
-Reliable, predictable results
When people hear about Six Month Smiles, they love the thought of getting results in about six months. Where traditional braces can take a year or more, Six Month Smiles is true to its name: most people get straight teeth in six months.
But that’s not the only way Six Month Smiles saves you time. The tightening appointments are shorter for this approach. When you come in, we have everything laid out and ready to go, so you can get in and out faster.
It is also more comfortable than traditional braces. You will experience less discomfort throughout the treatment.
The appearance is also very subtle. It uses clear brackets and a white wire so that it’s practically invisible.
Finally, we draw from our cumulative experience with braces–centuries of research and insight go into designing your treatment. That way, you get results that are predictable–you’ll get the results you’re looking for in the predicted time. Unlike with aligners, there’s a low risk that you’ll have to spend extra time in treatment with refinements.
A dental crowns rejuvenates a tooth that has been damaged, decayed, or worn. It is like a sheath that fits over your tooth. It essentially gives your tooth a completely new exterior, from below the gum line and over the entire surface. Dental crowns can be used for serious decay, trauma damage, cosmetic reasons, or to support a new bite arrangement. If you think you might benefit from a dental crown, please call (912) 234-8282 or email to learn more about Beyond Exceptional Dentistry in Savannah, Georgia today, to schedule an appointment with one of our dentists.
A wedding is one of the most important occasions of our lives. For brides and grooms, it’s the happiest day of their lives, but it’s also a huge event for the entire family–two families that are becoming one and gathering together for the first and possibly only time. Many pictures will be taken, and for some people, this will be the only image they have of you, at the wedding, hopefully smiling. So it’s important that your smile look its best for your wedding day–and the wedding days of other family members where you’ll be in the spotlight. If you’re unhappy with the appearance of your smile, a wedding smile makeover can make sure your smile looks its best and you’ll be remembered as the bright, beautiful person you are. To learn how a smile makeover can help you get ready for your wedding day in Savannah, please call (912) 234-8282 today for an appointment with a cosmetic dentist at Beyond Exceptional Dentistry.
Sleep Apnea is a life-threatening condition that occurs when your breathing stops for more than 10 seconds at a time while sleeping. When breathing stops, your brain partially awakens to restore breathing. This may happen hundreds of times a night, although you may not be aware of it. In fact researchers estimate that up to 90% of sufferers are undiagnosed. Symptoms and conditions associated with sleep apnea include:
-Snoring
-Daytime sleepiness
-Nighttime restlessness, frequent awakening
-Diabetes
-High blood pressure
-Stroke
-Heart attack
-Weight gain
-Fibromyalgia
-Personality disorders and changes
-Inability to concentrate
-Depression and other mood disorders
-Lack of motivation
Sedation dentistry is just a couple different pills you take to help you feel relaxed at the time of your appointment. First, you will take a mild sedative the night before so you can sleep well with no worries for the coming day. On the day of your treatment, you will take another sedative that will help you feel relaxed. Although it is sometimes called “sleep dentistry, ” it is actually conscious sedation–you will be awake and generally aware of your surroundings, capable of answering questions and following instructions.
Here are some important details to keep in mind:
You cannot drive the day of your appointment–arrange for someone to drop you off and pick you up.
You will need to take the rest of the day off from work
You will have little memory of your dental appointment
Use care when moving about on the day of your procedure. The medication may affect your balance.
Sedation dentistry has helped many patients who previously thought they would never be able to get good dental care or cosmetic dentistry.
The TMJ is a complex joint, designed to move in many directions and work in concert with muscles from the head and neck. The TMJ is also very close to many vital systems, including blood vessels and nerves that feed into the brain. One of these is the trigeminal nerve, which is known to be the trigger point for migraine headaches. When your jaw joint is out of balance, jaw muscles can irritate the trigeminal nerve, which can trigger migraines.
Another possible headache trigger is when tense jaw muscles put extra tension on the muscles they work with. This leads to a tension headache, the most common type of headache, which can range in severity from mild to intense. Tension headaches can also trigger migraines.
Another possible headache trigger is when tense jaw muscles put extra tension on the muscles they work with. This leads to a tension headache, the most common type of headache, which can range in severity from mild to intense. Tension headaches can also trigger migraines.
If you are experiencing chronic headaches or migraines, and you think they may be caused by TMJ disorder, contact us to schedule a consultation with our team.
Photos
Reviews (9)
Karen Peden
Oct 08, 2019
I lived for years with dentures that were painful, I couldn't eat like I wanted to, I was not confident in my smile at all. They just did not fit right at all. A friend of mine came to this office and had the best experience and highly recommended that I come, even if I did nothing that I should come and at least see my options. So she is the only reason I came.
I did not want to have any debt in my life, but once I heard the options and talked to my husband, he said we had spent so much on my mouth over the years that it was time to finally do something that WORKS. So here I am with my new dentures. I am out of pain. I can eat. I am thrilled with the looks, though they look a little too perfect. But I love my new teeth. Dr Strickland and his team were so wonderful. They got me out of pain and I now have something that WORKS!!
I did not want to have any debt in my life, but once I heard the options and talked to my husband, he said we had spent so much on my mouth over the years that it was time to finally do something that WORKS. So here I am with my new dentures. I am out of pain. I can eat. I am thrilled with the looks, though they look a little too perfect. But I love my new teeth. Dr Strickland and his team were so wonderful. They got me out of pain and I now have something that WORKS!!
Laura
Jul 17, 2019
Jenny Lynn B.
Jun 25, 2019
Betty Nichols
To describe this office is truly exceptional. The staff is so caring, compassionate, and knowledgeable. I had a lot of dental work over the years and I still had many problems. The Dr. and staff devised a plan and are in the process of executing that plan. I am so excited to get this process started this has been a dream of mine for many years. I came in 2004 and I could not complete the process but I am thrilled to get this process completed now.
Ken Cook
Deborah W. Premo
I was impressed that Kristin, the office coordinator, and Danielle, the coordinator knew my name when I walked in for my second visit! In addition, Jenny had an assistant, Bri, who gave me the CAT scan and take x-rays. She also was very influential in making me comfortable. I am also impressed that I was able to talk to them, who was open to spending time to explain what needed to be done and why.
Rick Monroe
From walking in the door thru all the treatment, the people and science were unique......I have never experienced such professional people and the treatment was beyond anything I have ever seen. It was like going to an incredible customer service seminar accompanied by a look into the future of dentistry.
Shae Lucas
Jeff Moody
I am pleased with everything. Everyone is very nice. Dr. Reeves answered my questions before I could even ask them. Every part of my visit was explained to me. I enjoyed the first consultation being such a personal visit instead of just a dentist and my teeth. It’s like I am really being treated instead of just my teeth!







